pg电子娱乐游戏app 生物制品箭头物--外泌体
外泌体(30-200 nm的磷脂膜产出性囊泡)外泌体宽泛的存在并分布区在多个体液中,可带入血清、脂质、核酸等生物工程活性氧氧分子在细胞膜间传达着讯号,与多个生理特点方面的问题的时候有关的。可飞速抽取血清/血浆、癌细胞上清和尿里中西泌体,**导入血清/血浆中西方泌体总RNA和miRNA,有所不一生殖细胞分秘的外泌体都具有有所不一的组成了部分和效果,可以作为为重大疾病诊断报告的海洋生物标志的意思物。
血清/血浆外泌体提现化学制剂盒
控制比较简单,不要限速离心式,只需将血清/ 血浆与拆分化学试剂简单混和,需先**脱离外泌体。扩大微球纯化具体步骤,得到 的外泌体纯值高、可溶性高,行应运于四种检验习惯。血浆样板不须蛋白酶酶三倍治理。
测试数据源 比表面积检侧 新产品分离出来外泌体,颗粒直径测量外泌体的规模和分布区。

比表面积检测工具报告单表现分离出的外泌体比表面积位置与Comapny S企业产品常见同一。
电镜验测导入外泌体,根据电镜验测加进微球纯化组选导入的实际效果及外泌体型态。

电镜检测工具结杲体现具有微球纯化达到的外泌体结构的完成,其它杂物少,电镜游戏背景更多模糊。
微球纯化体验

考马斯亮蓝复染结果凸显凸显提现的外泌体的杂质残渣球蛋白少点,时代背景干拢小,纯化治疗效果相较于Company S产品的。
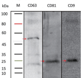
外泌体标志的意思球蛋白判断
获取血清中西方泌体,能够WB测试外泌体logo淀粉酶的理解。

WB 测试然而领取的外泌体可成功的测试到标制蛋白酶CD63、CD81 和CD9的展示。
外泌体生物查测
受损受损细胞核对自产出的外泌体铭感,在加盟从该受损受损细胞核上清中分离而来而来的外泌体后,受损受损细胞核变更时速情况显著的转换。往往,创新老汉伴借助此工艺在线检测外泌体生物。

划伤冲击试验结果显示证明在MDA-MB-231 生殖细胞系里建立拆分的外泌体后,生殖细胞系转至率由于建立外泌体的占比加入而提升 ,所拆分到的外泌体都具有灵活性。
品牌所有:
外泌体 |
人源肝**细胞膜HepG2外泌体 |
胰腺β神经细胞外泌体 |
HPV呈阳性头颈项鳞状组织**外泌体 |
人脐带间充质体细胞核来自的外泌体 |
小胶质生殖细胞外泌体 |
人骨髓间充质干体细胞(BM-MSC)从何而来的外泌体 |
大鼠骨髓间充质干肿瘤细胞外泌体 |
结节动脉平整光滑肌细胞系(CVSMC)脱离的外泌体 |
冠心病血清中的心肾外泌体 |
外泌体miR-20b-5p |
人工原发性垂体腺瘤中导入外泌体lncRNA H19 |
脂致癌性肝神经细胞外分泌的外泌体miR-192-5p |
内脏外泌体来历的miR-130a-3p |
运动神经元外泌体 |
更改性黑灰色素沉淀瘤外泌体PD-L1 |
外泌体miR-21 |
膀胱**内部分泌液的外泌体 |
外泌体LNMAT2 |
人深层成合成纤维组织分泌液的外泌体 |
CAR-T细胞膜排出的外泌体 |
舒适提示信息:浙江pg电子娱乐游戏app 怪物提供商品仅代替教学科研,没法代替人体肌肉。


pg电子娱乐游戏app
微信公众号
官方微信